Podiatry
Call Us: 575-437-0890
What is a Bunion?
A bunion is a painful enlargement at the joint of the big toe. The skin over the joint becomes swollen and is often quite tender. An important part of treatment is wearing shoes that conform to the shape of the foot and do not cause pressure areas. This often alleviates the pain. In severe cases, bunions can be disabling. Several types of surgery are available that may relieve pain and improve the appearance of the foot. Surgery is usually done to relieve pain and is not meant for cosmetic purposes.
[top]
Hammertoe
Hammertoes are one of several types of toe deformities. Hammertoes have a permanent sideways bend in your middle toe joint. The resulting deformity can be aggravated by tight shoes and usually results in pain over the prominent bony areas on the top of the toe and at the end of the toe. A hard corn may develop over this prominence.
Treatment usually involves a shoe to better accommodate your deformed toe. Shoe inserts or pads also may help. If, after trying these treatments, you are still having marked difficulty, surgical treatment to straighten the toe or remove the prominent area of bone may be necessary.
[top]
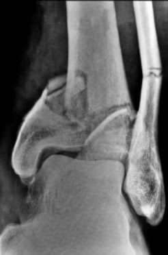
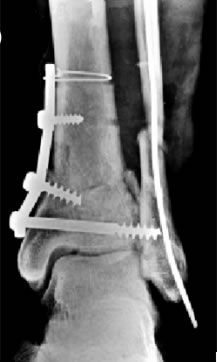
Ankle
![]() |
![]() source: Christus Southern New Mexico |
[top]
Patient Portal
Medical Passports are secure, online patient-controlled accounts that provide medical history information.
Pay your Bill
Christus Southern New Mexico offers an easy way for patients to pay your bill.
CareCredit
SNMSC patients prior to 4/1/25. CareCredit is a healthcare credit card designed for your health and wellness needs for you, your entire family and your pets.
Christus Surgery Center Indian Wells
2301 Indian Wells Rd. Suite B
Alamogordo, NM 88310
Phone: 575.437.0890
Fax: 575.437.0905
Email: patsey.bridges@christushealth.org






